研究部門
水処理膜研究部門
水処理を目的とした分離膜は、水道水を浄化する中空糸膜、海水を淡水化する逆浸透膜、工業排水をろ過する分離膜など様々な形で産業化され、我々の生活に役立っています。
この背景のもと、水処理膜研究部門は水処理膜をさらに高機能化するために必要な知的基盤を構築し、その基盤にもとづいて高機能膜を実現するためのエンジニアリングと社会実装を追求する研究部門です。高機能な水処理膜から新しいサイエンスを見いだしていくことも重要な目標です。研究チームごとの研究開発テーマは以下のとおりです。
- 2次元ナノチャネルを有するナノシート積層膜の開発(松山秀人・Kecheng GUAN)
- 正浸透を利用した省エネルギー膜分離法の開発検討(松山秀人・松岡 淳)
- 畜産酪農排水の資源化をめざす分離技術開発(井原一高)
- 処理水–膜界面の分子論的計測評価手法の開発(大西洋)
メンバー
- 大西 洋 教授(部門長)
- 井原 一高 教授
- 松山 秀人 特命教授
- 松岡 淳 助教
- 吉田 弦 助教
- Kecheng GUAN 助教
- Zhaohuan MAI 特命准教授
- Mengyang HU 特命助教
Research Topics
2次元ナノチャネルを有するナノシート積層膜の開発

図1 ナノシート積層膜の概念図

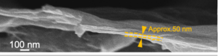
図2 作製された積層膜の断面SEM画像
膜分離法は、省エネルギーな水処理、脱塩およびイオン選択分離技術として注目されています。当グループでは、酸化グラフェンなどの2次元ナノシート材料を用い、層間距離や孔壁の化学的性質を精密に制御することで、選択的な分子・イオン分離を実現する膜の開発を進めています。さらに、このような構造の明らかなナノチャネルを有する膜は、ナノスケール空間内でのイオン輸送挙動の基礎的理解を深めるための研究材料としても活用されています。
正浸透を利用した省エネルギー膜分離法の開発検討
- 松山 秀人
- 松岡 淳

近年、膜分離の駆動エネルギーを最小限に削減することを目的とし、浸透圧エネルギーを利用した正浸透膜法と呼ばれるプロセスが注目されています。我々は濃縮プロセスに対する正浸透膜プロセスの応用に注目し、省エネルギーな廃水からの有用資源の回収方法の開発を行っています。正浸透膜法の実現のためには、目的のプロセスに適した膜材料の開発と大きな浸透圧エネルギーを持った駆動溶液の開発が必要です。我々はアンモニア濃縮に適する膜の開発と、再利用が可能な温度応答性材料を用いた機能性駆動溶液の開発を行っています。
分離技術を利用した畜産・食品バイオマスのエネルギー変換と循環

処理水–膜界面の分子論的計測評価手法の開発

世界最先端の走査型プローブ顕微鏡をベースとして、膜材料と液体が接する界面の組成・構造・力学応答などを顕微計測する手法を開発しています。化学工学・応用化学・機械工学・鉱物学をはじめとして幅広い研究分野に属する産官学の国内研究者、さらに海外研究者との協働によって新しいサイエンスをつくっています。

